Dr. Andrei Ionescu
Romania
Implant Treatment with Naxis Implants in a Patient with Diabetes and Heavy Smoking-Alcohol Use: A Case Presentation
The effects of diabetes, smoking, and alcohol consumption on implant treatment are increasingly being investigated. This case presentation discusses successful implant treatment with Naxis implants in a male patient with high diabetes and heavy smoking-alcohol use. Additionally, X-ray images taken five years after the initial implant surgery are provided to evaluate the long-term stability of the implants.
Introduction: The effects of diabetes, smoking, and alcohol consumption on implant treatment are increasingly being investigated. This case presentation discusses successful implant treatment with Naxis implants in a male patient with high diabetes and heavy smoking-alcohol use. Additionally, X-ray images taken five years after the initial implant surgery are provided to evaluate the long-term stability of the implants.
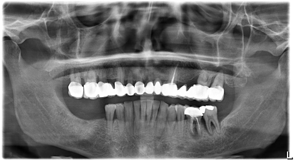
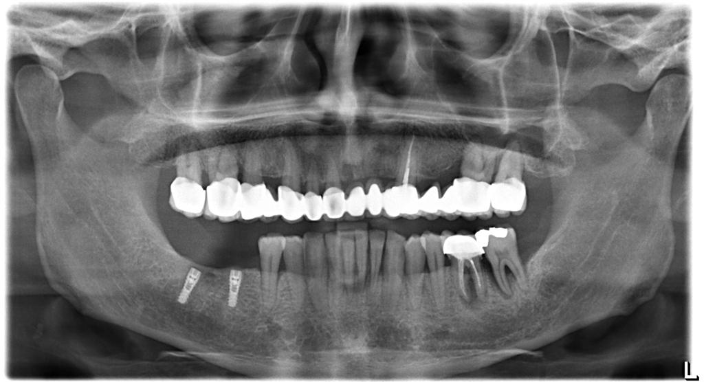
Case Presentation: A 42-year-old male patient with high diabetes and heavy smoking-alcohol use presented with multiple tooth loss. These systemic health factors posed potential risks for implant treatment. However, successful implant placement with Naxis implants was achieved in sites 46-47 to address the patient's dental needs. Approximately two years later, implants were also placed in sites 36-37 using Naxis implants.
Post-Treatment Evaluation: The patient continued smoking and alcohol consumption after implant surgery. However, evaluation of the long-term stability and success rates of the implants, based on X-ray images taken five years later, revealed that the Naxis implants were securely maintained. This demonstrates that successful implant treatment is possible despite the negative effects of systemic health factors, with regular follow-up and periodontal care.
Conclusion: This case presentation highlights a successful example of implant treatment with Naxis implants in a patient with high diabetes and heavy smoking-alcohol use. It emphasizes the importance of a cautious approach when performing implant treatment in patients with compromised systemic health conditions. Furthermore, it underscores the significance of regular follow-up and radiographic imaging for evaluating the long-term stability of implants.
Note: Patient identity has been kept confidential, and X-ray images have been used for scientific purposes.


.png)