Dr. Talal Sabsabi
Syria
Immediate Loading of Naxis Implant with Simultaneous Restoration
Immediate loading of dental implants, particularly in the aesthetic zone, poses unique challenges and requires meticulous planning to ensure successful outcomes. This case report presents the management of a male patient requiring aesthetic zone restoration through Naxis implant placement with simultaneous restoration following tooth fracture.
Introduction: Immediate loading of dental implants, particularly in the aesthetic zone, poses unique challenges and requires meticulous planning to ensure successful outcomes. This case report presents the management of a male patient requiring aesthetic zone restoration through Naxis implant placement with simultaneous restoration following tooth fracture.
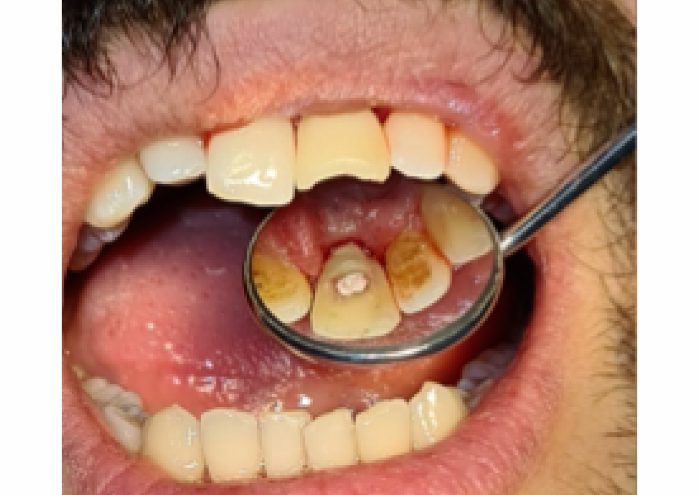
Case Presentation: A male patient presented with a fractured tooth in the aesthetic zone, necessitating immediate restoration. Due to the aesthetic concerns and patient's preference for a prompt solution, Naxis implants were selected for their reliability and immediate loading capabilities. During the same treatment session, Naxis implants were placed, and 'Naxis Healing Cap PEEK' was immediately applied. Subsequently, the fractured tooth was cemented onto the 'Naxis Healing Cap PEEK', and the screw channel was sealed with composite filling material.
Treatment Implementation: Implant placement was meticulously planned to ensure optimal aesthetic and functional outcomes. The Naxis implants were chosen for their compatibility with immediate loading protocols and aesthetic zone requirements. The 'Naxis Healing Cap PEEK' provided a stable platform for the immediate restoration of the fractured tooth, allowing for efficient treatment completion in a single session. The screw channel sealing with composite filling material ensured the integrity of the restoration.
Outcome: The immediate loading of Naxis implants with simultaneous restoration resulted in successful aesthetic and functional rehabilitation of the patient's fractured tooth. The Naxis implants provided stable support for the restoration, while the immediate placement of the 'Naxis Healing Cap PEEK' facilitated efficient treatment delivery. The composite filling material effectively sealed the screw channel, ensuring the longevity of the restoration.
Conclusion: This case highlights the feasibility and efficacy of immediate loading protocols in the aesthetic zone using Naxis implants. Through careful planning and precise execution, simultaneous restoration following tooth fracture can be achieved, providing patients with prompt and satisfactory outcomes. Further studies and long-term follow-ups are warranted to validate the long-term success and stability of this approach.
Note: Patient identity has been kept confidential, and X-ray images have been used for scientific purposes.


