Dr. Lena Richter
Germany
Naxis NX30 Full Mouth
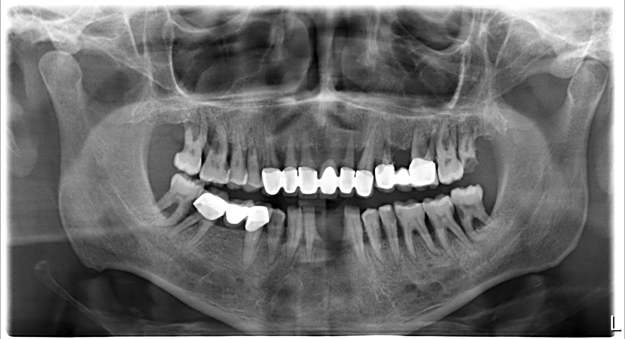
A 46-year-old male patient with severe diabetes mellitus experienced multiple tooth loss in both the upper and lower jaws. The patient also exhibited periodontal problems. Considering the patient's specific conditions, Naxis implants were chosen. Naxis implants are designed to provide better implant stability and success rates, especially in critical cases.
Case Presentation:
A 46-year-old male patient with severe diabetes mellitus experienced multiple tooth loss in both the upper and lower jaws. The patient also exhibited periodontal problems. Considering the patient's specific conditions, Naxis implants were chosen. Naxis implants are designed to provide better implant stability and success rates, especially in critical cases.
Treatment Plan and Implementation:
Six Naxis implants were successfully placed in the lower jaw, while eight were placed in the upper jaw. Following implant surgery, immediate healing abutments were used to expedite recovery and reduce the risk of infection.
Three months later, after the completion of implant osseointegration, the patient's need for prostheses was evaluated. Zirconium prostheses were preferred to meet the patient's aesthetic and functional requirements. Zirconium prostheses offer advantages in terms of durability and natural appearance.
Conclusion:
The application of Naxis implants and zirconium prostheses, taking into account the patient's specific conditions, resulted in a successful treatment outcome. This approach may provide a reliable option for implant treatment in patients with periodontal problems or systemic health issues.
Note: Patient identity has been kept confidential, and X-ray images have been used for scientific purposes.


.png)